Life-Like Crowns
Below is a few examples of what LIFE-LIKE CROWNS can do for you and your smile!



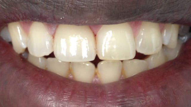
Case has 3 "lifelike crowns"
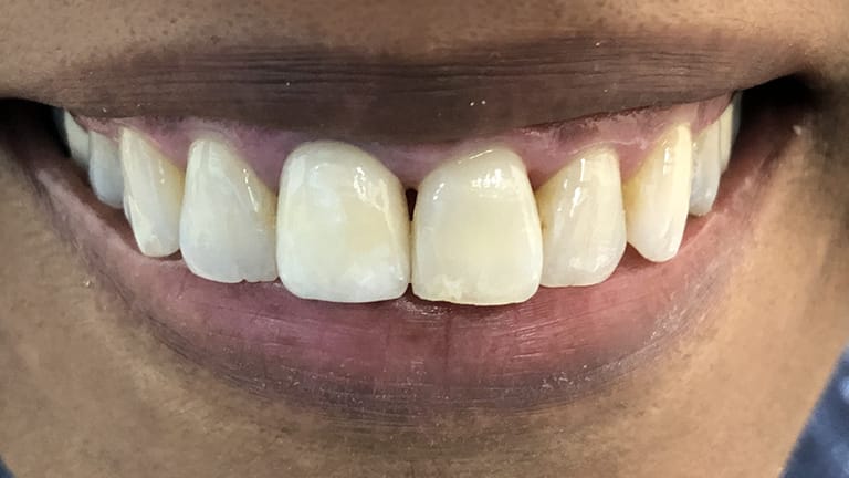
Case has 3 "lifelike crowns"
Case has 3 "lifelike crowns"










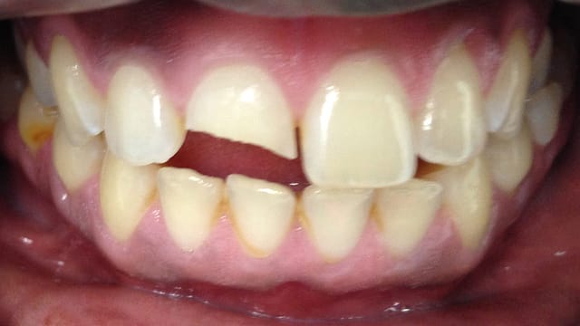
Below are examples of PFM / metal crowns to porcelain only crowns.




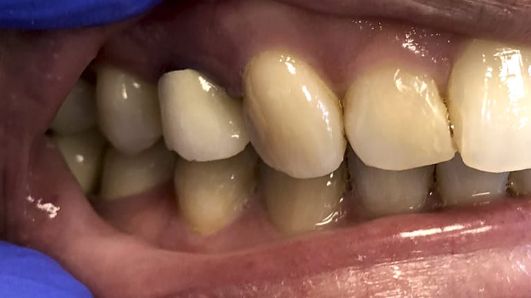
Below are examples of PFM to Zirconia.



